Research in Human Mobility
Dr. Walter Herzog speaks about the HPL, its team of scholars, and the research underway.
Frontiers in Biomechanics
Dr. Brent Edwards speaks about his research in biomedical engineering, biomechanics, imaging, and computational modelling.

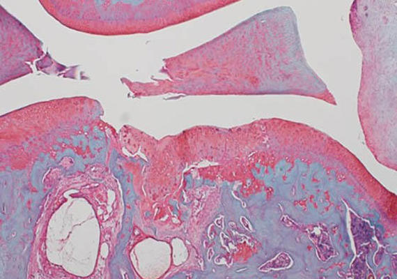
Novel In-Vivo Mechanical Marker of Early Changes in OA
Developing a diagnostic tool to identify people at risk of developing osteoarthritis (OA) after knee injury.

Using Exercise and diet to reduce mild and moderate OA
The effect of moderate exercise and fibre supplementation on the knee joint in a model of metabolic osteoarthritis (OA).