Using exercise and diet to reduce mild and moderate osteoarthritis

The effect of moderate exercise and fibre supplementation on the knee joint in a model of metabolic osteoarthritis

Dr. Kelsey Collins (project collaborator), postdoctoral fellow at Washington University and former Biomedical Engineering graduate student at UCalgary

Dr. Kelsey Collins (project collaborator), postdoctoral fellow at Washington University and former Biomedical Engineering graduate student at UCalgary

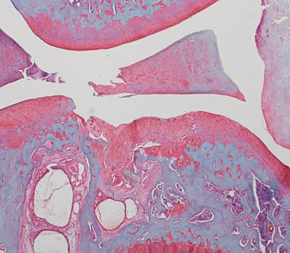
Osteoarthritis (OA) is a painful condition where the cartilage in a joint degenerates. Obesity, which causes low grade inflammation in the body may worsen OA. In studies with animal models, BME researchers have shown that a diet high in fat and sugar leads to more body fat, inflammation in the knee joint and elsewhere and ultimately, joint damage and knee OA within 12 weeks.

We know that consistent exercise can control body fat and inflammation and taking supplements of prebiotic fibre can reduce body fat while increasing metabolic health in both rats and humans with obesity. UCalgary researchers have shown that aerobic exercise and prebiotic fibre supplements completely prevented development of knee OA in rats with diet-induced obesity. They are now translating this work to humans; patients with obesity who also have mild to moderate knee OA.

Dr. Walter Herzog and Dr. Ziad Abu Sara, Research Scientist

Dr. Walter Herzog and Dr. Ziad Abu Sara, Research Scientist

Model knee joint showing diet-induced metabolic osteoarthritis

Model knee joint showing diet-induced metabolic osteoarthritis


Partners

Dr. Kelsey Collins, Postdoctoral Fellow, Washington University in St. Louis